Editorial
Focus "Rectal cancer": securing excellence beyond the scalpel
a publication of the Swiss College of Surgeons
Ich engagiere mich dafür, dass die schweizerische Chirurgie auch in Zukunft eine Publikation hat, die aktuelle und relevante Inhalte in übersichtlicher und ansprechender Form zusammenfasst.
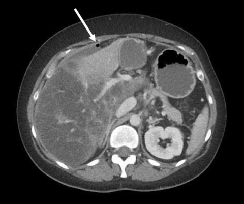
A 38-year old female presented to the emergency department with a one-day history of acute pain in the upper right quadrant of the abdomen, increasing within the last few hours. Her medical history included a non-alcoholic fatty liver disease with moderate hepatic fibrosis, endometriosis and hypertension.
Die internationale Konsensus-Guideline zur Behandlung von Inguinalhernien erschien erstmals 20181. Im Juli 2023 erschien das erste Update der Leitlinie, die von allen kontinentalen Herniengesellschaften, der Endo Hernia Society und der European Society for Endoscopic Surgery anerkannt wurde2.
Gamification und Virtual Reality: die neue Ära der chirurgischen Ausbildung